Piorrea Quali Sono I Primi Sintomi Tutte Le Cure Disponibili Dentista Resta

Piorrea Quali Sono I Primi Sintomi Tutte Le Cure Disponibili Dentista Resta

Malattia Parodontale E Piorrea Una Precisazione Odontoiatrica San Damiano Sassuolo Modena

Malattia Parodontale E Piorrea Una Precisazione Odontoiatrica San Damiano Sassuolo Modena

Parodontite Piorrea Cause Sintomi E Come Curarla Senza Interventi Chirurgici Clinica Del Benessere Dentale

Parodontite Piorrea Cause Sintomi E Come Curarla Senza Interventi Chirurgici Clinica Del Benessere Dentale

Parodontite Cure Laser Senza Interventi Chirurgici Dentista Resta

Parodontite Cure Laser Senza Interventi Chirurgici Dentista Resta

Parodontite Che Cos E Clinica Dentale Centrodent

Parodontite Che Cos E Clinica Dentale Centrodent

La Parodontite Piu Frequente La Parodontite Cronica Centro Laserterapia Parodontale Dott Marco Giannelli

La Parodontite Piu Frequente La Parodontite Cronica Centro Laserterapia Parodontale Dott Marco Giannelli

La Parodontite Piu Frequente La Parodontite Cronica Centro Laserterapia Parodontale Dott Marco Giannelli

Sintomi Immagini Parodontite Parodontopatia

Sintomi Immagini Parodontite Parodontopatia

Parodontologia Studio Dentistico Cozzolino

Parodontologia Studio Dentistico Cozzolino

Piorrea Quali Sono I Primi Sintomi Tutte Le Cure Disponibili Dentista Resta

Piorrea Quali Sono I Primi Sintomi Tutte Le Cure Disponibili Dentista Resta

Panoramica Della Malattia Parodontale Disturbi Dei Denti Manuali Msd Edizione Professionisti

Panoramica Della Malattia Parodontale Disturbi Dei Denti Manuali Msd Edizione Professionisti

Parodontite Gengivite Cura

Parodontite Gengivite Cura

Oltre Il 40 Degli Italiani Soffre Di Parodontite Dentista Lecco

Oltre Il 40 Degli Italiani Soffre Di Parodontite Dentista Lecco

Parodontite Cos E E Come Prevenirla Studio Dentistico Dott Ssa Tubazio

Parodontite Cos E E Come Prevenirla Studio Dentistico Dott Ssa Tubazio

Un Nuovo Test Diagnostico Per La Parodontite Apicale Acuta

Un Nuovo Test Diagnostico Per La Parodontite Apicale Acuta

Parodontologia Pagina 3 Di 6 Studio Dentistico Cozzolino

Parodontologia Pagina 3 Di 6 Studio Dentistico Cozzolino

La Piorrea Parodontite Un Rischio Reale Per La Tua Salute Studio Fonzar

La Piorrea Parodontite Un Rischio Reale Per La Tua Salute Studio Fonzar

Parodontite Gengivite Cura

Parodontite Gengivite Cura

Parodontologia Info E Consigli Studio Odontoiatrico Dominici Roma

Parodontologia Info E Consigli Studio Odontoiatrico Dominici Roma

Parodontite O Piorrea Sintomi Cause Cura E Principali Rimedi Naturali

Parodontite O Piorrea Sintomi Cause Cura E Principali Rimedi Naturali

Padarontologia Piorrea Bari E Puglia Dott Enrico Deodato

Padarontologia Piorrea Bari E Puglia Dott Enrico Deodato

Parodontologia Parodontite Gengivite Studio Dentisti Odontoiatra

Parodontologia Parodontite Gengivite Studio Dentisti Odontoiatra

Caso Clinico Di Grave Parodontite Clinica Villa

Caso Clinico Di Grave Parodontite Clinica Villa

Ho 25 Anni E Mi E Stata Diagnosticata Parodontite Di Tipo Medio Grave

Ho 25 Anni E Mi E Stata Diagnosticata Parodontite Di Tipo Medio Grave

Cos E La Piorrea O Parodontite E Come Curarla Etica Dentale

Cos E La Piorrea O Parodontite E Come Curarla Etica Dentale

Https Encrypted Tbn0 Gstatic Com Images Q Tbn And9gcrjxurdjnf1nfcti Whjcrb3cekl7eis3zncbkq8uqdgvbzjyw Usqp Cau

Https Encrypted Tbn0 Gstatic Com Images Q Tbn And9gcrjxurdjnf1nfcti Whjcrb3cekl7eis3zncbkq8uqdgvbzjyw Usqp Cau

Parodontite Cronica Cos E E Come Si Cura Zenadent

Parodontite Cronica Cos E E Come Si Cura Zenadent

Parodontite Che Cos E Clinica Dentale Centrodent

Parodontite Che Cos E Clinica Dentale Centrodent

Parodontite Dentista Especialista En Estetica Dental Santa Maria La Carita Campania Italy Facebook 13 Fotos

Parodontite Dentista Especialista En Estetica Dental Santa Maria La Carita Campania Italy Facebook 13 Fotos

E Possibile Migliorare La Mia Situazione Estetica Nonostante La Parodontite

E Possibile Migliorare La Mia Situazione Estetica Nonostante La Parodontite

Cura Parodontite Laser A Latina Centro Odontoiatrico Gioia Dentista Latina

Cura Parodontite Laser A Latina Centro Odontoiatrico Gioia Dentista Latina

La Parodontite Cos E La Malattia Parodontale

La Parodontite Cos E La Malattia Parodontale

Parodontite Cause E Possibili Cure Implantologia Milano Cannizzo

Parodontite Cause E Possibili Cure Implantologia Milano Cannizzo

Parodontite Avanzata Nb Immagini Forti Youtube

Parodontite Avanzata Nb Immagini Forti Youtube

La Parodontite E Contagiosa Studio Dentistico Cozzolino

La Parodontite E Contagiosa Studio Dentistico Cozzolino

Parodontite O Piorrea Sintomi Cause Cura E Principali Rimedi Naturali

Parodontite O Piorrea Sintomi Cause Cura E Principali Rimedi Naturali

La Parodontite Piu Frequente La Parodontite Cronica Centro Laserterapia Parodontale Dott Marco Giannelli

La Parodontite Piu Frequente La Parodontite Cronica Centro Laserterapia Parodontale Dott Marco Giannelli

Parodontite Odontosicura Srl

Parodontite Odontosicura Srl

Cura Parodontite Laser A Latina Centro Odontoiatrico Gioia Dentista Latina

Cura Parodontite Laser A Latina Centro Odontoiatrico Gioia Dentista Latina

Tasche Gengivali E Parodontite O Piorrea Studio Dentistico Prof Checchi Dentista A Bologna

Tasche Gengivali E Parodontite O Piorrea Studio Dentistico Prof Checchi Dentista A Bologna

Parodontite Studio Corcolis

Parodontite Studio Corcolis

Malattia Parodontale I Batteri E La Placca Dentale Dentista A Bareggio

Malattia Parodontale I Batteri E La Placca Dentale Dentista A Bareggio

Immagine Vettoriale Dente Parodontite Malattia Immagini Vettoriali Stock E Altre Immagini Di Anatomia Umana Istock

Immagine Vettoriale Dente Parodontite Malattia Immagini Vettoriali Stock E Altre Immagini Di Anatomia Umana Istock

Cause Della Gengivite Della Parodontite E Dei Disturbi Gengivali Gsk Health Partner

Cause Della Gengivite Della Parodontite E Dei Disturbi Gengivali Gsk Health Partner

Mi E Stata Diagnosticata Una Parodontite In Alcuni Punti Anche Grave

Mi E Stata Diagnosticata Una Parodontite In Alcuni Punti Anche Grave

Sintomi Immagini Parodontite Parodontopatia

Sintomi Immagini Parodontite Parodontopatia

Facebook

Facebook

Chirurgia Parodontale Pulizia Denti Gengive Piorrea Cura Carie

Chirurgia Parodontale Pulizia Denti Gengive Piorrea Cura Carie

Riabilitazione Parodontale E Protesica Di Una Paziente Con Parodontite Narcodont Milano

Riabilitazione Parodontale E Protesica Di Una Paziente Con Parodontite Narcodont Milano

Gengivite E Parodontite Terapia Non Chirurgica

Gengivite E Parodontite Terapia Non Chirurgica

1

1

Colletti Dentali Scoperti Cause E Conseguenze Parodontite

Colletti Dentali Scoperti Cause E Conseguenze Parodontite

Tasche Gengivali Ecco I Rimedi Per Curarle Wedental Care

Tasche Gengivali Ecco I Rimedi Per Curarle Wedental Care

Sostituzione Con 2 Impianti Dei 4 Incisivi Inferiori Persi Per Parodontite Narcodont Milano

Sostituzione Con 2 Impianti Dei 4 Incisivi Inferiori Persi Per Parodontite Narcodont Milano

Parodontologia Studio Corcolis

Parodontologia Studio Corcolis

Implantologia E Parodontite Implantologi It Eccellenza In Implantologia

Implantologia E Parodontite Implantologi It Eccellenza In Implantologia

Parodontologia Studio Dentistico Cozzolino

Parodontologia Studio Dentistico Cozzolino

Caso Clinico Di Grave Parodontite Clinica Villa

Caso Clinico Di Grave Parodontite Clinica Villa

1 Cos E La Parodontite Studio Matarasso Centro Di Parodontologia Ed Implantologia

1 Cos E La Parodontite Studio Matarasso Centro Di Parodontologia Ed Implantologia

Parodontologia Verona Cura Parodontite Studio Dentistico Lombardo

Parodontologia Verona Cura Parodontite Studio Dentistico Lombardo

Paradontologia Bologna Odontoiatri Castel Maggiore

Paradontologia Bologna Odontoiatri Castel Maggiore

Sostituzione Di Incisivi Mancanti Nella Mandibola A Seguito Di Recessione Ossea Per Parodontite Morita

Sostituzione Di Incisivi Mancanti Nella Mandibola A Seguito Di Recessione Ossea Per Parodontite Morita

Nel Mese Di Giugno Mi Hanno Diagnosticato La Parodontite

Nel Mese Di Giugno Mi Hanno Diagnosticato La Parodontite

Malattia Parodontale Cause Sintomi E Cura Faggian Clinic

Malattia Parodontale Cause Sintomi E Cura Faggian Clinic

Studio Dentistico Dr Alessandro Artese Parodontologia

Studio Dentistico Dr Alessandro Artese Parodontologia

La Piorrea Parodontite Un Rischio Reale Per La Tua Salute Studio Fonzar

La Piorrea Parodontite Un Rischio Reale Per La Tua Salute Studio Fonzar

Parodontite Gengivite Cura

Parodontite Gengivite Cura

Immagine Vettoriale Dente Parodontite Malattia Immagini Vettoriali Stock E Altre Immagini Di Anatomia Umana Istock

Immagine Vettoriale Dente Parodontite Malattia Immagini Vettoriali Stock E Altre Immagini Di Anatomia Umana Istock

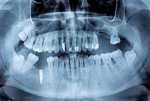
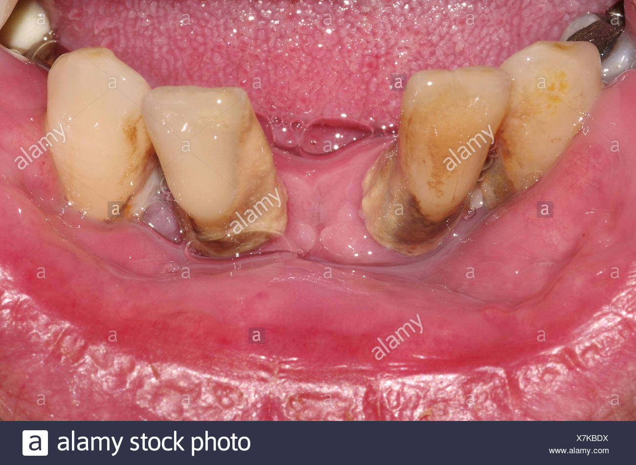
Parodontite Immagini E Fotos Stock Alamy

Parodontite Immagini E Fotos Stock Alamy

1 Cos E La Parodontite Studio Matarasso Centro Di Parodontologia Ed Implantologia

1 Cos E La Parodontite Studio Matarasso Centro Di Parodontologia Ed Implantologia

Parodontologia Studio Dentistico Cozzolino

Parodontologia Studio Dentistico Cozzolino

Caso Clinico Di Grave Parodontite Clinica Villa

Caso Clinico Di Grave Parodontite Clinica Villa

La Parodontite Studio Odontoiatrico Palermo Marra Sicurella

La Parodontite Studio Odontoiatrico Palermo Marra Sicurella

Cura Parodontite Laser A Latina Centro Odontoiatrico Gioia Dentista Latina

Cura Parodontite Laser A Latina Centro Odontoiatrico Gioia Dentista Latina

Sintomi Immagini Parodontite Parodontopatia

Sintomi Immagini Parodontite Parodontopatia

Https Encrypted Tbn0 Gstatic Com Images Q Tbn And9gcqrjvwjv4mvqswc8gmehlme7w4i9guy2v Pgnlkqgv Iqnwzos8 Usqp Cau

Https Encrypted Tbn0 Gstatic Com Images Q Tbn And9gcqrjvwjv4mvqswc8gmehlme7w4i9guy2v Pgnlkqgv Iqnwzos8 Usqp Cau

Trattamento Di Un Caso Parodontale Avanzato

Trattamento Di Un Caso Parodontale Avanzato

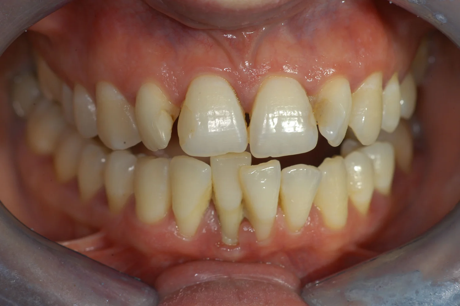
Parodontite Con Due Lesioni Gravi Sui Canini

Parodontite Con Due Lesioni Gravi Sui Canini

Parodontite Immagini E Fotos Stock Alamy

Parodontite Immagini E Fotos Stock Alamy

Polispecialistico Meroni Il Tuo Dentista A Cantu Como Impianti Dentali Igiene E Prevenzione Dentale Casi Clinici Trattamento Piorrea Parodontite

Polispecialistico Meroni Il Tuo Dentista A Cantu Como Impianti Dentali Igiene E Prevenzione Dentale Casi Clinici Trattamento Piorrea Parodontite

Parodontite O Pyorrhea Immagini Vettoriali Stock E Altre Immagini Di Accudire Istock

Parodontite O Pyorrhea Immagini Vettoriali Stock E Altre Immagini Di Accudire Istock

Pronto Soccorso Dentistico Studio Medico Dentistico Paradisi

Pronto Soccorso Dentistico Studio Medico Dentistico Paradisi

Parodontologia Lecce Studio Dentistico Stefanelli Tricase Le

Parodontologia Lecce Studio Dentistico Stefanelli Tricase Le

Parodontite 5 Cose Da Sapere Studio Dentistico Pandolfi

Parodontite 5 Cose Da Sapere Studio Dentistico Pandolfi

Cura Della Parodontite Studio Stradiot

Cura Della Parodontite Studio Stradiot

La Parodontite Piu Frequente La Parodontite Cronica Centro Laserterapia Parodontale Dott Marco Giannelli

La Parodontite Piu Frequente La Parodontite Cronica Centro Laserterapia Parodontale Dott Marco Giannelli

Non Sottovalutiamo I Sintomi Della Parondontite Benessere

Non Sottovalutiamo I Sintomi Della Parondontite Benessere

Parodontite Cure Laser Senza Interventi Chirurgici Dentista Resta

Parodontite Cure Laser Senza Interventi Chirurgici Dentista Resta

Denti Che Si Muovono Rimedi Bologna Dentista Bologna Microdent Dental Spa

Denti Che Si Muovono Rimedi Bologna Dentista Bologna Microdent Dental Spa

Parodontite Apicale Wikipedia

Parodontite Apicale Wikipedia

Trattamento Parodontite Curettage E Sondaggio Parodontale C Youtube

Trattamento Parodontite Curettage E Sondaggio Parodontale C Youtube

Caso Clinico Di Grave Parodontite Clinica Villa

Caso Clinico Di Grave Parodontite Clinica Villa

Denti Che Si Muovono Potrebbe Essere Parodontite Dentalcoop

Denti Che Si Muovono Potrebbe Essere Parodontite Dentalcoop

Padarontologia Piorrea Bari E Puglia Dott Enrico Deodato

Padarontologia Piorrea Bari E Puglia Dott Enrico Deodato

Piorrea E Parodontite Differenze Cause Prevenzione E Trattamento

Piorrea E Parodontite Differenze Cause Prevenzione E Trattamento

Parodontologia Smilife

Parodontologia Smilife

Cos E La Piorrea O Parodontite E Come Curarla Etica Dentale

Cos E La Piorrea O Parodontite E Come Curarla Etica Dentale

Sintomi Immagini Parodontite Parodontopatia

Sintomi Immagini Parodontite Parodontopatia

Parodontite Immagini E Fotos Stock Alamy

Parodontite Immagini E Fotos Stock Alamy

Gengivite Disturbi Del Cavo Orale E Dentali Manuale Msd Versione Per I Pazienti

Gengivite Disturbi Del Cavo Orale E Dentali Manuale Msd Versione Per I Pazienti

Source : pinterest.com